Garancija na opravljene storitve!
V naši zasebni zobozdravstveni ordinaciji vam ponujamo kvalitetno opravljene storitve.
Zagotavljamo vam strokovno opravljene zdrastvene posege, za katere vam nudimo tudi garancijo. Pri delu uporabljamo le najkvalitetnejše materiale, za delo pa jamčimo s svojo strokovnostjo.Način plačila
Možno je le gotovinsko plačilo.
Plačilnih kartic zaenkrat ne sprejemamo. V bližini ordinacije se nahaja bančni avtomat.Prej in potem
|
TRIPLOSKOVNA KOMPOZITNA ZALIVKA |
||
| Prej | Potem | |
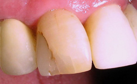
![]() |
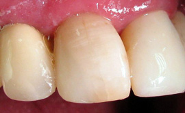
![]() |
|
Odstranili smo staro kompozitno zalivko, ker je popustila vez med zalivko in zobom, oziroma nastal je »sekundarni karies« in zalivka se je zabarvala. Naredili smo rekonstrukcijo prizadetega dela zobne krone s pomočjo kompozitnega materiala najboljše kakovosti. Poseg je trajal približno 30 minut.
| Prej | Potem | |
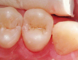
![]() |
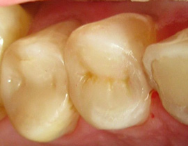
![]() |
Na lokalnem RTG posnetku je bil viden karies pod plombo in jo je bilo treba nujno zamenjati. Najprej smo odstranili staro zalivko, potem je bilo treba očistiti še karies pod njo. Ker je bil karies zelo globok, smo na zob najprej dali eno podlago, ki odpušča fluor (fluoridni ioni se vežejo s kalcijevimi in na tak način krepijo zobno sklenino). Potem smo naredili kompozitno zalivko upoštevajoč morfologijo zoba. Poseg je trajal približno 40 minut.
| Prej | Potem | |
![]() |
![]() |
Pacient je ugriznil v nekaj trdega in si zlomil del zoba, ker je vez med plombo in zobom popustila na več mestih. Tam so nastale špranje. Plombo je bilo potrebno zamenjati, manjkajoč del zoba pa rekonstruirati s pomočjo kompozitnega materiala. Poseg je trajal približno 45 minut.
|
DVOPLOSKOVNA KOMPOZITNA ZALIVKA |
||
| Prej | Potem | |
![]() |
![]() |
|
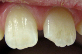
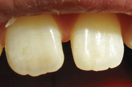
Devetletni fant si je pri padcu zlomil sprednjo zgornjo enko. Ker gre za stalen zob, smo ga mogli rekonstruirati s pomočjo kompozitne zalivke. Poseg je trajal približno 30 minut.
|
VEČJA ENOPLOSKOVNA ZALIVKA |
||
| Prej | Potem | |
![]() |
![]() |
|
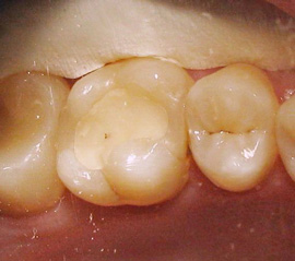
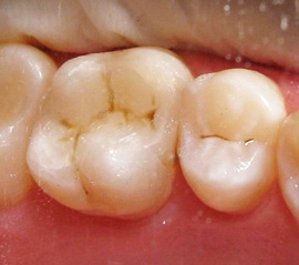
Pacient je prišel zaradi termične preobčutljivosti zoba, ki je nastala kot posledica neustrezno narejene zalivke. Staro zalivko smo odstranili, zob pa rekonstruirali s pomočjo kompozitnega materiala upoštevajoč morfologijo zoba. V želji da bi bil zob čim bolj naravnega videza, smo modelirane fisure (jamice) zabarvali še s pigmentom tako, da barva zoba ne odstopa od ostalih zob ampak jih posnema. Z modelacijo jamic in vrškov dobili smo brezhiben kontakt z zobmi v nasprotni čeljusti. Tak poseg traja 30 do 45.
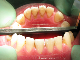
| ZOBNI KAMEN |
||
| Prej | Potem | |
![]() |
![]() |
|
| Prej | Potem | |
![]() |
![]() |
| Prej | Potem | |
![]() |
![]() |
Priporočamo

- Brezplačen pregled in posvet
- Demonstracija uporabe pripomočkov za ustno higieno
- Redne kontrole na 6 do 12 mesecev

















