Garancija na opravljene storitve!
V naši zasebni zobozdravstveni ordinaciji vam ponujamo kvalitetno opravljene storitve.
Zagotavljamo vam strokovno opravljene zdrastvene posege, za katere vam nudimo tudi garancijo. Pri delu uporabljamo le najkvalitetnejše materiale, za delo pa jamčimo s svojo strokovnostjo.Način plačila
Možno je gotovinsko in kartično plačilo.
V bližini ordinacije se nahaja bančni avtomat.Storitve zobne ordinacije
PRVI OBISK V ORDINACIJI ![]()
V čakalnici pacient izpolni vprašalnik (označi alergije, bolezni in zdravstvene težave, ki jih ima ali jih je imel v preteklosti). Potem naredimo natančen pregled ustne votline, v pacientovo kartoteko pa zapišemo status (plombirane, manjkajoče, zdravljene zobe, protetične nadomestke) oziroma trenutno stanje. Pri tem nam pomaga rentgenski posnetek - ortopan.
Ob prvem pregledu odpravimo morebitne akutne težave in bolečine. Potem skupaj pripravimo načrt in časovni okvir potrebnih posegov ter stroškov.
USTNA HIGIENA![]()
Lep in zdrav nasmeh, čisti zobje in zdrave dlesni so znak dobrega zdravja. Dobra ustna higiena, redno umivanje, pravilna uporaba zobne ščetke in nitke ter redni obiski pri zobozdravniku preprečujejo nastanek kariesa, zobnih oblog, vnetja dlesni in obzobnih tkiv.
Zobni kamen nastane, ko se mehke bakterijske zobne obloge (plak) strdijo oz. mineralizirajo. Zobni kamen nad robom dlesni (supragingivalni zobni kamen) je obloga belo rumenkaste ali celo rjavkaste barve. Nastane najpogosteje na zobnih ploskvah ob izvodilih velikih žlez slinavk, in sicer na notranjih površinah spodnjih sekalcev (ob izvodilih podjezičnih slinavk) ter zunanjih površinah zgornjih kočnikov (ob izvodilih obušesnih slinavk). Zobni kamen nastaja tudi pod robom dlesni in enako pogosto na katerikoli ploskvi zoba in na vseh zobeh (subgingivalni zobni kamen). Lahko se vidi tudi na rentgenski sliki, če so obloge dovolj obsežne. Zobni kamen se nahaja v večini parodontalnih žepov, nastalih zaradi bolezni obzobnih tkiv. Zobni kamen je škodljiv, ker zaradi bakterij, ki jih vsebuje, povzroča vnetje dlesni in obzobnih tkiv, kar posledično pripelje do resorbcije kosti, majavosti in izgube zob.
Zobnega kamna v nasprotju z mehkimi oblogami ne moremo več sami očistiti s pripomočki za ustno higieno. Potrebno je profesionalno čiščenje trdih zobnih oblog v zobni ordinaciji, kjer običajno uporabljamo aparat s konico, ki vibrira v ultrazvočnem frekvenčnem območju. Po takem čiščenju zobe spoliramo, z gumicami, ščetkami in pasto s katerimi očistimo tudi razna zabarvanja s površine zob (čaj, kava, nikotin, barvila iz hrane in drugih pijač). Zobje postanejo svetlejši in gladkih površin, na katerih je težje nalaganje zobnih oblog. Čiščenje zobnega kamna je treba opraviti vedno, ko se obloge pojavijo, najmanj dvakrat na leto.

Zobni kamen je škodljiv, ker zaradi bakterij, ki jih vsebuje, povzroča vnetje dlesni in obzobnih tkiv (slike), kar posledično pripelje do resorbcije kosti, majavosti in izgube zob.
KONZERVATIVA - KOMPOZITNE ZALIVKE ![]()
Kompozitna zalivka nadomešča izgubljeno zobno strukturo (zaradi kariesa ali loma), v primerih, ko okvara na zobu ni prevelika. V preteklosti so se uporabljali neestetski materiali, kot je amalgam. Danes se amalgam skoraj ne uporablja več zaradi slabe vezi z zobom in »kovinskega« nenaravnega videza. Kompozitni materiali, ki jih uporabljamo danes, so estetski, imajo odlične mehanske lastnosti in se dobro vežejo na strukturo zob (če se uporablja pravilno).
Za zdravljenje majhnih, površinskih kariesov, popravilo majhnih defektov in nepravilnosti ter popravilo manjših estetskih nepravilnosti v obliki in barvi zob uporabljamo najmanj invazivne metode odstranjevanja kariesa s posebnimi svedri za minimalno invazivno preparacijo, ki izbrusi le karies ali odstrani staro plombo, zdrava zobovina pa ostane nedotaknjena. Takšni posegi so praviloma neboleči tudi brez anestezije. Kadar pa gre za obsežnejši karies, zlom zoba ali menjavo večje plombe nujna je obsežnejša preparacija ter bolj zapletene tehnike izdelave plomb. Pri tem uporabljamo najnovejše nadstandardne plombirne materiale, saj imajo vrsto prednosti pred klasičnimi zalivkami. So izredno obstojni, estetski ter prijazni zdravju in okolju.
Kompozitne zalivke se izdelujejo tako, da zvesto posnemajo videz naravnih zob. To pomeni, da se s pomočjo kompozitnega materiala oblikuje vsaka jamica in vršek, ki jih ima naravni zob, prehod med zobmi in zalivko pa mora biti neopazen. Na modeliranju jamiv in vrškov ne vztrajamo samo zaradi estetike, temveč tudi zaradi funkcionalnih razlogov. Vsaka zalivka ali krona z razlogom natančno posnema videz naravnih zob. Če tega ne bi upoštevali, bi prišlo do motnje pri naravni razporeditvi sil pri vgrizu, kar lahko povzroči resne zaplete v ustni votlini (izraščanje nasprotnega zoba, če je zalivka prenizka, zatikanje hrane med zobmi in krvavitev dlesni, slab zadah in nastanek žepov).
Če poseg opravljamo na mrtvem zobu (zobu, ki ima zdravljene ali odmrle koreninske kanale), so posegi neboleči. Pri živih zobeh pa se individualno odločamo o anesteziji glede na občutljivost pri vrtanju oziroma pacient sam pove ali želi anestezijo. V primeru, da uporaba kompozitnih materialov ni mogoča, se odločimo za izdelavo keramičnih zalivk (inlay, onlay) ali naredimo prevleko. Inlay in onlay so v zobotehničnem laboratoriju izdelane keramične zalivke, ki se cementirajo na zob. Z njimi dosežemo visoko estetiko, boljšo obstojnost in trdnost od klasičnih zalivk. Lahko služijo kot nosilci členov manjkajočih zob in so tako alternativa klasičnim mostičkom.
Za zdravljenje majhnih, površinskih kariesov, popravilo majhnih defektov in nepravilnosti ter popravilo manjših estetskih nepravilnosti v obliki in barvi zob uporabljamo najmanj invazivne metode odstranjevanja kariesa s posebnimi svedri za minimalno invazivno preparacijo, ki izbrusi le karies ali odstrani staro plombo, zdrava zobovina pa ostane nedotaknjena.

V naši ordinaciji amalgamskih zalivk ne izdelujemo. Pri njihovem odstranjevanju pa uporabljamo najvarnejše metode.

INLAY, ONLAY ![]()
CAD / CAM (computer-aided design / computer-aided manufacturing) tehnologija predstavlja revolucijo v izdelavi zobnih nadomestkov, temelji pa na 3D računalniških programih. Za tak sistem je značilna brezhibna natančnost izdelave, ki v celoti izključuje možnost človeške napake. CAD / CAM sistemi so sestavljeni iz optičnega bralnika, ki na podlagi odtisa zob, skenira mejo preparacije zoba z izjemno natančnostjo. Informacije se pošljejo v napravo, ki iz bloka izbranega materiala (titan, cirkonij, zlato) naredi jedro nadomestka na katerega se potemi izlije keramika. Ta tehnologija se uporablja pri izdelavi inlaya, onlaya, kron, mostov in lusk. CAD / CAM sistem ponuja izjemne tehnološke zmogljivosti in je neizostaven del sodobne dentalne medicine.
Ko bakterije najdejo svojo pot v notranjost zoba (bodisi zaradi kariesa, travme zoba ali globoke polnitve), pride do vnetne reakcije zobne pulpe (živca). Pogosto jo spremlja zelo močna bolečina. Včasih do odumrtja živca pride počasi in brez bolečin, ker okužba počasi napreduje. Bakterije v koreninske kanale napredujejo proti kosti in tam povzročijo vnetje (absces ali granulom).
Takšno stanje zoba zahteva endodontsko zdravljenje, ki preprečuje širjenje okužbe v kosti in na ta način ohranja zob in njegove korenine. Zdravljenja je potrebno izvajati pravilno, oziroma odstrani vzrok okužbe ter koreninske kanale očistiti in zapolniti v skladu s pravili stroke. Zato je treba vsako endodontsko zdravljenje preveriti z RTG posnetkom.

Koreninsko zdravljenje - endodontija
Postopek je popolnoma neboleč in ponavadi se konča pri drugem obisku. Sodobno zdravljenje kanalov je na nek način vrst mikrokirurškega posega in zahteva sterilno delovno področje. Vneto tkivo se odstranjuje ročno ali mehansko s sterilnimi instrumenti. Okužene kanale spiramo s tekočino za razkuževanje koreninskih kanalov, sušimo in zapolnimo z bioinertnim materialom. Rahla bolečina in občutljivost zob v naslednjih dveh do štirih tednih je normalna reakcija po endodontskem zdravljenju. To je obdobje, v katerem imunski sistem uničuje mogoče preostale bakterije. Endodontsko zdravljen zob ponavadi traja tako dolgo kot "živ" zob. Vendar pa se je treba zavedati, da je tak zob krhek in se zlahka zlomi, če je preobremenjen. Ker velika večina endodontski zdravljenih zob ima velike kariese ali večje zalivke, potrebno je narediti krono, ki bo zaščitila zob in zmanjšala možnost frakture. V zelo redkih primerih, endodontsko zdravljenje ne more biti uspešno izvedeno zaradi zelo tenkih in ukrivljenih kanalov ali slabega prejšnjega endodontskega zdravljenja. Nekateri od teh primerov se uspešno rešujejo z revizijo (ponovno čiščenje in razkuževanje kanalov) ali z apikotomijo (kirurško odstranitvijo vrška korenine).
V zelo redkih primerih, endodontsko zdravljenje ne more biti uspešno izvedeno zaradi zelo tenkih in ukrivljenih kanalov ali slabega prejšnjega endodontskega zdravljenja

Slabo endodontsko zdravljenje
Nekateri od teh primerov se uspešno rešujejo z revizijo (ponovno čiščenje in razkuževanje kanalov) ali z apikotomijo (kirurško odstranitvijo vrška korenine).

Po ponovnem zdravljenju koreninskih kanalov
PROTETIKA-FIKSNA IN SNEMNA
Zobne prevleke in mostički so fiksni nadomestki izgubljenih zob. Kadar zoba ostane še zelo malo in ga v večini nadomešča plomba, ki ne more doseči pravilne oblike zoba, ali kadar je zob močno odlomljen in ostane le korenina, izdelamo prevleko. Naredimo lahko porcelanske prevleke z ogrodjem, izdelanim iz posebne temu namenjene kovine, polnoporcelansko prevleko ali belo izdelano iz cirkona po CAD CAM tehnologiji (računalniška tehnika frezanja ogrodja iz v naprej pripravljenega keramičnega bloka). Na tako ogrodje zobni tehnik izdela prevleko v večplastni tehniki, ki kar najbolje posnema naraven zob. Kadar je zobna krona tako okvarjena, da imamo le še korenino, naredimo v korenino zatiček, ki ga nad dlesnijo oblikujemo kot obrušen zob. Nanj naredimo prevleko. Kadar manjka zob ali skupina zob, najprej ocenimo situacijo sosednjih zob. V kolikor so nepoškodovani in nimajo plomb, ocenimo možnost nadomestitve zob z implantati, na katere naredimo prevleke. Kadar so sosednji zobje okvarjeni ali močno plombirani in bi bilo dobro, da so oskrbljeni s prevlekami, je možno, da zanje izdelamo mostiček, lahko pa jih samostojno oskrbimo s prevlekami in vrzel oskrbimo z implantati, na katere naredimo prevleke. Kadar je izgubljenih več zob, predvsem če manjkajo zobje na koncu zobne vrste, jih imamo možnost nadomestiti z implantati ali s protezami. Kadar ne manjkajo vsi zobje, naredimo parcialno (delno) protezo, ki nadomešča le zobe, ki manjkajo. Klasične parcialne proteze imajo zaponke, ki so na sprednjih zobeh lahko vidne pri govoru. Običajno je možno izdelati tudi parcialne proteze na način, da zaponk na zunanji strani ni. Potekajo le po zadnji strani zob, sicer pa so pritrjene na zobe s posebnim sistemom pritiskača (podoben "drukerju"). Kadar manjkajo vsi zobje, izdelamo totalno protezo. V spodnji čeljusti se s totalno protezo praktično ne more doseči zadovoljive stabilnosti proteze, zato se pacientom svetuje dodatna podpora z implantati (klasični ali mini). Slednji so predvsem primerni za paciente, ki imajo napredovano resorbcijo (izgubo) čeljustne kosti.
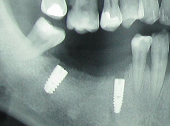
IMPLANTATI ![]()
Implantologija je sodobno nadomeščanje izgubljenih zob s titanskimi zobnimi vsadki, ki v bistvu nadomeščajo korenine izgubljenih zob. Že pomanjkanje enega zoba močno vpliva na funkcijo celotnega žvečilnega sistema in lahko precej uniči estetiko. Vsadek rešuje obe težavi brez brušenja sosednjih zob. Čeprav obstajajo številne tehnike s katerimi lahko nadomestimo manjkajoče zobe, nobena ni tako funkcionalna in vzdržljiva kot vsadek. Vsadek zagotavlja najbolj naraven prenos sil in na mestu manjkajočega zoba preneha izguba kostne mase (kar je normalno po izgubi zob). Vsadki se ne uporabljajo le pri izgubi enega zoba, ampak tudi v povezavi z drugimi protetičnimi rešitvami. Tako jih zelo uspešno uporabljamo v brezzobi čeljusti, kjer so lahko nosilci mostu pri pacientih, ki bi sicer morali uporabljati mobilne proteze. Vsadek je lahko tudi sidro za totalno protezo, ki zagotavljata njeno stabilnost in omogoča pacientu prijetno in varno delovanje.

Postopek vsaditve
Vgraditev implantata se izvaja v lokalni anesteziji. Postopek je popolnoma neboleč. V izbrano lokacijo v kosti se vgradi titanov vijak, ki se pusti 3-6 mesecev, da zraste s kostjo. Postopek se imenuje oseointegracija in je nujno potreben za stabilnost in trajnost implantata. Vsadki so narejeni iz titana, ki spodbuja celice okoli vsadka, da ustvarijo novo kost. Po obdobju oseointegracije, se implantat odpre in se s pomočjo posebnega elementa oblikuje zobno meso, ki daje naraven videz. Ta postopek traja 2-4 tedne, potem se izdeluje nekaj podobno kroni naravnega zoba.
Relativne kontraindikacije za zobne vsadke:
- pomanjkanje kosti ali zmanjšana kostna gostota v področju vsadka
- slaba higiena
- kajenje
- nekatere sistemske bolezni.
Pogosto je možno takoj po vsaditvi začeti s postopkom za izdelavo zob, najprej začasnih, potem pa tudi stalnih. V vseh primerih pacientom zagotavljamo začasno rešitev.
Čeprav nikjer v medicini ni zagotovila za uspeh, namestitev vsadka je eden od najbolj varnih postopkov v zobni medicini s odstotkom uspešnosti med 92 in 95%.
ESTETSKO ZOBOZDRAVSTVO ![]()
Poleg estetskih kompozitnih zalivk, inlay in onlay zalivk, za lepši videz zob ponujamo tudi
beljenje. V naši ordinaciji nudimo dve vrsti beljenja: beljenje v ordinaciji, kjer se zobje belijo pod kontrolo zobozdravnika, in beljenje doma pod kontrolo zobozdravnika, pri katerem zobozdravnik izdela poseben nastavek za zobe, v katerega doma nanesete priloženo belilo in ga nosite na zobeh toliko časa, kolikor predpiše zobozdravnik. Morebitne plombe in protetična dela barve ne bodo spremenila. Tudi zdravljen zob lahko posvetlimo z beljenjem. Postopek je drugačen od beljenja živih zob. Belilo vnesemo v zob pod začasno plombo in ga po potrebi večkrat zamenjamo. Ko dosežemo želeno barvo, naredimo plombo.
Kadar zobje potrebujejo manjše estetske popravke in stanja ni mogoče korigirati z drugimi načini, se odločimo za izdelavo estetske porcelanske luske (venirja). Luska je sprednja površina zoba izdelana po naročilu iz porcelana. Uporabljamo jih za poravnavo prenatrpanih ali naprej potisnjenih zob, za zapiranje presledkov med zobmi ali za posvetlitev barve zob. Njihova trdnost in izgled konkurirata izgledu in trdnosti naravnih zob.
Porcelanske luske brez preparacije ponujajo nebolečo možnost do stalnega bolj belega in idealno oblikovanega nasmeha. Zobozdravnik namesti luske na zobe brez brušenja in preparacije zob, s čimer transformira zobe v lep, naraven nasmeh, ki zagotavlja popoln videz vsakemu posamezniku. Tovrstne luske je mogoče nalepiti preko obstoječe krone ali mostička. Luske imajo debelino kontaktne leče in jih je možno nalepiti na obstoječe zobe brez odstranjevanja obstoječe zobne strukture, zato predstavljajo nebolečo, permanentno kozmetično rešitev za obarvane, odkrušene, razbarvane ali nepravilno poravnane zobe. Luske brez preparacije so izdelane iz porcelana. Naravni zobje pri posegu ostanejo popolnoma nedotaknjeni.
Klasične luske zahtevajo preparcijo obstoječe zobne strukture. Zobozdravnik uporablja obe tehniki, odvisno od stanja pacientovih zob. Postopek prepracije traja od ene do dve uri. Zobozdravnik najprej preparira strukturo vaših zob, da lahko kasneje nanje namesti tanek venir. Običajno se pri tem odstrani 0,5 mm zoba, kar zahteva lokalno anestezijo. Sledi odvzem odtisa zob, ki ga zobozdravnik pošlje v obdelavo izurjenemu tehniku, ki najkasneje v dveh tednih izdela želene zobe. Za ta čas vam zobozdravnik namesti začasne prevleke. Obisk pri zobozdravniku v tej fazi traja od ene do dve uri (odvisno od števila zob). Zobozdravnik najprej z vodo ali glicerinom pozicionira porcelanske luske na vaš zob ter tako preveri, če luske ustrezajo, ter dobi pravi občutek barvne nianse. Medtem ko porcelanske luske počivajo na vaših zobeh vam pokažemo predvideni estetski rezultat. V tej fazi se lahko niansa barve še spreminja z uporabo barve cementa, ki se nato uporablja za lepljenje. Pred tem se zobje očistijo s posebnimi preparati, da se doseže trdna in permanentna vez. Sledi nanos posebnega cementa med zob in lusko. Zobozdravnik s pomočjo ultravijolične svetlobe sprosti katalizator, ki strdi cement.
Med estetske storitve, ki jih ponuja naša ordinacija spada tudi ortodontija. Zobje so včasih v nepravilni legi že od izrasti, včasih pa se premaknejo kasneje v življenju. Premiki zob s fiksnim ortodontskim aparatom so mogoči v vseh življenjskih obdobjih. Kadar se zobje tekom življenja tako premaknejo, da nam to onemogoča dobro nego ali protetično oskrbo, je potrebno premisliti o ortodontski terapiji. Ortodontske terapije izvajamo v naši ordinaciji, v sodelovanju s specialisti ortodonti. Osnova fiksnega ortodontskega aparata so bracketi, majhni elementi, ki se jih prilepi na zobe. Skoznje se napelje posebna žica. Ker fiksni ortodontski aparat ni snemljiv je aktiven v ustih 24 ur na dan. Poznamo več tipov bracketov in žic, specialist ortodont jih izbere glede na vrsto nepravilnosti. Pred začetkom ortodontskega zdravljenja morajo biti zobje zdravi in brez kariesov, obzobna tkiva morajo biti brez vnetnih sprememb. Pacient mora dobro obvladati natančno ustno higieno.
ORALNA KIRURGIJA ![]()
V naši ordinaciji izvajamo kirurške posege, kot so: ekstrakcija zob, incizija, podaljšanje klinične krone, reženjske operacije, gingivotomija. Vse ostale bolj zahtevne posege izvajamo v sodelovanju s specialistom oralne kirurgije.
PARODONTOLOGIJA-ZDRAVLJENJE DLESNI ![]()
Parodontalna bolezen prizadene praktično vso populacijo, a ker poteka predvsem neboleče in počasi se njene posledice pacienti pogosto ne zavedajo. Poglavitni vzrok so bakterije in njihovi produkti v zobnih oblogah in zobnem kamenu. Prve spremembe se pojavijo na dlesnih, ki so krvaveče in otečene. Tekom let pa so prizadete tudi druge obzobne stukture, ki postopno propadajo, kar pacienti opazijo v obliki majajočih zob in umiku dleseni. Pacienti se pogosto s to težavo prepozno oglasijo v zobni ambulanti. Ključ uspeha zdravljenja je v poznavanju narave bolezni, zato je prvenstven natančen poduk pravilne ustne higiene pacienta in njegova motivacija in sodelovanje.
V večji meri prispevajo k nastanku bolezni pedvsem dejavniki na katere ljudje vplivamo sami: higiena, kajenje in stres. Diagnozo postavimo s pomočjo kliničnega pregleda, pri katerem ponavadi ugotovimo prisotnost zobnih oblog. Zobni kamen lahko vidimo ali ga zatipamo s sondami pod nivojem dlesni. Krvaveča dlesen na dotik govori o stalni prisotnosti mehkega zobnega plaka, v katerem je polno bakterij, ki povzročajo vnetje dlesni. Rentgenski posnetki so osnova za diagnostiko bolezni. Nudijo nam podatke o količini izgubljene alveolarne kosti (kost, ki obdaja zobne korenine) , kar je ključno za določitev resnosti in težavnosti bolezni. Količino izgubljene kosti in globino obzobnih žepov izmerimo s posebnimi merilnimi parodontalnimi sondami. Globina obzobnih žepov je glavni podatek, ki narekuje način terapije in prognozo bolezni.
Zdravljenje bolezni zajema predvsem ukrepe, ki zmanjšujejo ali odstranjujejo bolezenske dejavnike na katere lahko vplivamo tudi sami. V prvi vrsti se morajo pacienti zavedati pomena ustne higiene, nevarnosti kajenja in pomena stresnega življenja. Vzpostavitev in vzdrževanje ustrezne ustne higiene, ki vključuje uporabo medzobnih krtačk, medzobnih nitk, električnih krtačk, je bistvenega pomena za zdravljenje parodontalne bolezni. Terapija bi bila brez upoštevanja navodil za higieno popolnoma neuspešna. Ko pacienti razumejo in tudi izvajajo prvo fazo zdravljenja, torej pouk o higieni, lahko nadaljujemo terapijo. Cilj je odstranitev zobnega plaka in kamna, ki ga pacienti sami ne morejo odstraniti.
Opisane postopke izvajamo z ročnimi ali strojnimi inštrumenti. Če je potrebno se napoti pacienta k specialistu parodontologu v nadaljno obravnavo. Cilj terapij je zmanjšati globino obzobnih žepov in zmanjšati majavost zob. Sodelovanje pacienta v smislu upoštevanja navodil o ustni higieni in strokovno delo sta zagotovilo za uspeh.
LASERSKO ZDRAVLJENJE ![]()
Laserska tehnologija predstavlja evolucijo v medicinski tehnologiji ter nenadomestljivo vsakdanjo podporo tradicionalnim stomatološkim tehnikam. S pomočjo laserja uspešno zdravimo parodontalna vnetja, herpese, afte. Koreninske kanale steriliziramo pri endodontskem zdravljenju. Laser nam olajša delo tudi pri ustavljanju krvavitev. Še posebej učinkovit je pri zdravljenju parodontalnih bolezni, in sicer s sistemom Perio Green. V naši ordinaciji uporabljamo laser Elexxion claros pico, s katerim neškodljivo in neboleče tudi belimo zobe.

DRUGE STORITVE ![]()
V naši ambulanti nudimo tudi izdelavo opornic za bruksiste, izdelavo športnih ščitnikov ter zobni nakit.

